One of my favorite topics to write about is bjj, but I also have a lot to share about general fitness, weight loss, eating healthy and weight lifting. I have decided to create a new website that will include all of my interests.
So check out my new website and learn about health, weight loss, exercise, strength training and competing in jiu jitsu tournaments at WayneFitness.com.
BJJ Training And Tournaments, Lose Weight and stay Healthy
Learn to train in Brazilian Jiu Jitsu and compete in grappling tournaments. Lose weight and get healthy. Advice on preparing for BJJ competition.
Tuesday, September 11, 2012
Sunday, August 26, 2012
My Triumphant Return to BJJ... I hope
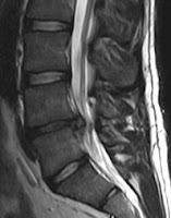
So my six months of no contact sports is almost over. I will be getting another MRI in the next week or two and I will find out if my back has healed enough for me to ever do jiu jitsu again. I am trying not to get too hopeful in case I find out that I can never go back. If I am able to return, I will need to ease back in BJJ slowly so as not to re-injur myself.
Sunday, June 24, 2012
Losing Weight and Body Building
While I am waiting for my back to heal so I can hopefully go back to jiu jitsu I have been doing a lot of cardio and weight lifting. I switched from my 1 day of lifting a week where I would do all the upper body muscles in one day to lifting 6 days a week and doing only two muscle groups per day. I slightly modified an intermediate body building routine so it would be ok for my back.
Monday: Chest and Triceps
Tuesday: Back and Biceps
Wednesday: Shoulders and Traps
Thursday: Legs
Friday: Chest and Triceps
Saturday: Back and Biceps
Sunday: Shoulders and Traps
Maybe later I will post all the exercises I do. I also do abs about every other day when I have time and I usually run for about an hour since I am mainly trying to drop weight. I can't wait till I hit my target weight and can start trying to put on more muscle and eat more. I got down to 175 pounds this week.
Monday: Chest and Triceps
Tuesday: Back and Biceps
Wednesday: Shoulders and Traps
Thursday: Legs
Friday: Chest and Triceps
Saturday: Back and Biceps
Sunday: Shoulders and Traps
Maybe later I will post all the exercises I do. I also do abs about every other day when I have time and I usually run for about an hour since I am mainly trying to drop weight. I can't wait till I hit my target weight and can start trying to put on more muscle and eat more. I got down to 175 pounds this week.
Wednesday, June 13, 2012
Training Update
I am now halfway done with my 6 month period of rest before I get another MRI of my back to see if I can go back to jiu jitsu. I have been following the paleo diet very strictly and lifting almost every day. In the month following the discovery of my injured back I ate like crap and put on 16 lbs. In the past 4 weeks I lost all of that weight and am now down to 178. I am looking to drop another 8 pounds before I switch to trying to put on muscle. I am frustrated because I have been sick for the past 3 days and haven't been able to go to the gym.
![]() |
| Picture of me as riddler killing time at comicon till I can go back to jiu jiutsu |
Monday, May 14, 2012
Paleo Diet: Cortisol and Caffeine
I have been reading the book The Paleo Solution lately. I have learned a lot that I didn't already know including some interesting information about hormones.
Cortisol is a hormone that is caused by stress, excessive exercise, not enough sleep and drinking caffeine. It leads to accelerated aging, fat storage, and hair loss. If you are looking to improve our health, you should try to reduce your exposure to cortisol by sleeping more, reducing your stress and avoiding caffeine. Luckily enough, getting more sleep will aid you in reducing your caffine intake
Image Source
Cortisol is bad
Cortisol is a hormone that is caused by stress, excessive exercise, not enough sleep and drinking caffeine. It leads to accelerated aging, fat storage, and hair loss. If you are looking to improve our health, you should try to reduce your exposure to cortisol by sleeping more, reducing your stress and avoiding caffeine. Luckily enough, getting more sleep will aid you in reducing your caffine intake
Image Source
Wednesday, May 9, 2012
BJJ: Father-Son Bonding
At my Brazilian Jiu Jitsu gym there are two fathers who bring their son(s) to class with them. I am really touched by the fact that they are able to share the great sport of Jiu Jitsu with their kids. Both of these fathers have great relationships with their sons, and the sons seem to really look up to them.I am jealous of the fact that these kids got the opportunity to get involved in BJJ so early. It will help them learn to be disciplined and help them remain calm under pressure. These kids are well on their way to becoming a man and are leaps and bounds ahead of their pears who are wasting all their time on facebook. Instead they are learning how to defend themselves and getting exercise. In an age where one in three children are overweight or obese, it is important to make sure kids are involved in sports. If you can participate with them and set a good example for them at the same time, even better. When I have children I will follow in these dads' example and take my kids to BJJ class and compete in tournaments.
Image Source
Tuesday, May 8, 2012
BJJ Tournament Mental Preparation Strategies
One of the hardest things for people to prepare for during a competition is their mental state. Some people are able to stay calm and others freak out and panic. Panicking during a grappling tournament is not good because it will make you breath harder and it will tire you out faster. If you panic it will cause you to tense up which increases your chance of getting injured, so it is in your best interest to figure out how to remain calm. It may seem like some people are naturally good at staying calm but that is not the case. Here is a list of factors which influence whether an individual is likely to be able to stay calm during a Brazilian Jiu Jitsu tournament.
Factors for remaining calm during BJJ Tournaments
- Experience competing - People who have played sports and done other competitive activities during a lifetime have way more experience remaining calm because they have slowly built up the ability to perform under pressure. The more related the activity to BJJ the more helpful it will be in mentally preparing for a grappling competition. For example the best experience would be a history of competing in wrestling because it is so similar. Tae Kwon Do tournaments would still be pretty helpful but is not as good as wrestling. It is still a one on one, contact sport but does not include grappling. A running race could probably help since it is sport and requires endurance but would be even less related because it is not one on one or contact. If you have no better options, consider signing up for and competing in a 5K race before your competition. It will help your endurance and your nerves.
- Confidence - Nothing will help you remain calm like a large dose of confidence. If you think you are better than the other person then you will be more confident and it will allow you to relax and remain calm during the match. This will help you to breath slower and stay lose. I literally just look at the other guy and think to my self "I can take this guy, I am better than him." It doesn't matter if it is true, just tell your self that. Men can increase their confidence by raising their testosterone level.
- No worrying about the outcome - People who don't care about the outcome are able to stay relaxed. Just remember that 50% of people lose in the first round, so even if you lose you have done as well as half the tournament competitors.
- Have a game plan - If you have no idea what your plan is for a match, when it begins you will panic. Decide on a game plan before hand so you know what to do. It could be to go for a take down, it could be to jump guard, or it could even be to sit down (depending on the tournament rules). Just make sure you know what your first move will be and how you plan to proceed during the match. It helps immensely if have been watching all of your future opponents during their previous matches. One time I watched a guy jump guard in his first two matches, then it was my turn to go against him. I asked my coach for some techniques for combating guard jumps. During the match when he went for the guard jump I stepped back and he fell on his butt which allowed me to step past his guard while he was stunned on the ground and eventually I won the match.
If you are preparing for your first tournament, you should read about what to expect. Talk to your friends who have competed and find out what it was like for them. The more you know the less you have to be surprised by.
If you haven't practiced in a realistic matter, you will be less prepared. When I did my first triathlon, I had never swam in an open water race in 60 degree weather (which is really cold for swimming), only in ideal pool conditions. When the race began I completely panicked and ended up hyperventilating. I nearly drowned. To prevent this, it would help you to practice rolling hard in a tournament like fashion at your gym a week or two before the tournament. This will allow you to feel what it is like to go 100%. Have a friend ref who knows the rules. Be sure to think about points during this practice roll so you know what it will be like during the real thing.
Most people will not be able to use all of these techniques for remaining calm, so chose which ones suite your style best. Over time you will learn to stay calm if you stick with BJJ competitions. Good luck!
Thursday, May 3, 2012
Improve your BJJ: Increase your Testosterone
Testosterone is the wonder drug for men. It is responsible for regulating bone density, fat management, promoting muscle strength and mass, production of blood cells, sex drive and sperm production. Higher testosterone also increases a male's attractiveness to women. Every man should strive to increase their testosterone level, it will lead to happiness and a better life.
Improve your diet. Eating broccoli will increase your testosterone. Avoid tofu and soy products, your body perceives soy and tofu as estrogen and will lower testosterone. Don't drink beer, the hops from beer is also seen as estrogen by the body. Eat plenty of meat, especially red meat. Eat saturated fat, monounsaturated fat and colesterol, they are required for testosterone production. Don't eat refined sugar, it has been shown to reduce testosterone.
Avoid cortisol. Cortisol is a hormone that is released in response to stress. It causes you to metabolize (eat away) your muscle and lowers your testosterone. The best way to lower your cortisol level is to reduce your stress. Get plenty of sleep, don't work too many hours and don't lift weights for more than 45 minutes in a row. Relaxation and meditation has also been shown to reduce cortisol.
Avoid BPA. BPA is a chemical that is in many of the plastics we use. It is seen by our body as estrogen and can lead to fat gain and decreased testosterone. Avoid BPA whenever possible. Make sure any water bottle you use is BPA free and do not cook food in plastic containers, put the food on a plate before you warm it.
How to increase your testosterone
Lift weights - It has been shown that lifting weights leads to a temporary increase in testosterone level right after lifting. Regular weight lifting will raise testosterone for the long term. The increase in testosterone is proportional to the amount of muscle used during weight lifting. This means that you will increase your testosterone level more by doing lower body weight lifting than upper body because the lower body has more muscle and you can lift heavier weight with your legs. I can bench a little over 300 lbs with my arms but can leg press over 1,000 lbs with my legs.Improve your diet. Eating broccoli will increase your testosterone. Avoid tofu and soy products, your body perceives soy and tofu as estrogen and will lower testosterone. Don't drink beer, the hops from beer is also seen as estrogen by the body. Eat plenty of meat, especially red meat. Eat saturated fat, monounsaturated fat and colesterol, they are required for testosterone production. Don't eat refined sugar, it has been shown to reduce testosterone.
Avoid cortisol. Cortisol is a hormone that is released in response to stress. It causes you to metabolize (eat away) your muscle and lowers your testosterone. The best way to lower your cortisol level is to reduce your stress. Get plenty of sleep, don't work too many hours and don't lift weights for more than 45 minutes in a row. Relaxation and meditation has also been shown to reduce cortisol.
Avoid BPA. BPA is a chemical that is in many of the plastics we use. It is seen by our body as estrogen and can lead to fat gain and decreased testosterone. Avoid BPA whenever possible. Make sure any water bottle you use is BPA free and do not cook food in plastic containers, put the food on a plate before you warm it.
Increase Testosterone helps you for BJJ Tournaments and Training
Higher testosterone will allow you to be more aggressive and it will improve your strength. You will feel better and be more confident. It will allow you to put on good weight (muscle) and drop bad weight (fat). This will make you more competitive for your weight class by having a better lean weight percentage. If you have higher testosterone you will be more confident and will allow you to perform better durring BJJ tournaments.
For men, it has been shown that low testosterone in men increases your chance of gaining weight. Being obese or overweight lowers your testosterone. It is like a downward spiral, if you have low testosterone then you will put on more weight which lowers your testosterone causing you to put on even more weight. Instead of getting caught in that trap, consider trying the paleo diet to drop lose some weight.
Wednesday, May 2, 2012
Using BJJ in Real Life
I have had to use BJJ 3 times in real life. It saved me from people causing problem while also preventing me from seriously injuring other people as I would have if the situation had resulted in a fist fight.
The first time I was in my own house and one of my room mates was extremely drunk. We were in the basement and my drunk roommate out of nowhere attacked my friend who was visiting. He was ferociously punching my friend so I came up behind my roommate and did a rear naked choke. Within 5 second my friend was nearly passed out and stopped attacking my friend. I let up on the choke and asked him if he would chill out. He said we would stop so I let him go. To this day I have no idea why he attacked my friend.
The second time I used my jiu jitsu was when a rugby alumni tried to knock over my refrigerator. He was pushing pretty hard so I grabbed him and tried to pull him away. He continued to try to push over my fridge so I put him in a rear naked choke. One of the other rugby alumni tried to choke me to force to stop me to stop choking his buddy but he had no idea about jiu jitsu so it did nothing to me. The alumni pushing over the fridge was forced to give up before I did because he could not breath and no blood was going to his brain. After I let go he told me that I was the first JHU rugby player to stop him from knocking over the fridge.
The last time I used my BJJ skills in a real situation was when the rugby team got in a fight with a campus frat. Five other rugby players and I got in a fight with 15 frat brothers in their house. It was a draw, which I look at as a victory given that we were out numbered. Same as before I used rear naked choke to take combatants out.
I think the moral of my stories is that the rear naked choke is extremely effective against people who don't know how to defend it. I was able to use it 3 times to stop agressive, drunken college students without injuring anyone. I didn't even need to put my hooks in, I was just standing in all of these situations. Only a few people know Brazilian Jiu Jitsu, so those of us who know it have a huge advantage in street fights against those who don't know it.
The first time I was in my own house and one of my room mates was extremely drunk. We were in the basement and my drunk roommate out of nowhere attacked my friend who was visiting. He was ferociously punching my friend so I came up behind my roommate and did a rear naked choke. Within 5 second my friend was nearly passed out and stopped attacking my friend. I let up on the choke and asked him if he would chill out. He said we would stop so I let him go. To this day I have no idea why he attacked my friend.The second time I used my jiu jitsu was when a rugby alumni tried to knock over my refrigerator. He was pushing pretty hard so I grabbed him and tried to pull him away. He continued to try to push over my fridge so I put him in a rear naked choke. One of the other rugby alumni tried to choke me to force to stop me to stop choking his buddy but he had no idea about jiu jitsu so it did nothing to me. The alumni pushing over the fridge was forced to give up before I did because he could not breath and no blood was going to his brain. After I let go he told me that I was the first JHU rugby player to stop him from knocking over the fridge.
The last time I used my BJJ skills in a real situation was when the rugby team got in a fight with a campus frat. Five other rugby players and I got in a fight with 15 frat brothers in their house. It was a draw, which I look at as a victory given that we were out numbered. Same as before I used rear naked choke to take combatants out.
I think the moral of my stories is that the rear naked choke is extremely effective against people who don't know how to defend it. I was able to use it 3 times to stop agressive, drunken college students without injuring anyone. I didn't even need to put my hooks in, I was just standing in all of these situations. Only a few people know Brazilian Jiu Jitsu, so those of us who know it have a huge advantage in street fights against those who don't know it.
Monday, April 30, 2012
Best Weight Loss Tip for Dieting
I have gone on several diets, trying many different approaches and I have found one thing that seems to make dieting much easier: Drinking lots of water!
Replacing other drinks with water is the easiest way to cut calories out of your diet. Instead of drinking soda, juice, milk or something else with your meal, drink water. You don't need those calories, and you will be better hydrated and feel better if you just drink water.
Don't just drink water right before and during meals, drink it all the time and your whole body will feel better. After a few weeks your body will start craving water all the time. I think this state of super hydration makes sticking to your diet easier. The only downside is frequent trips to the bathroom.
Why drinking water helps you diet
Drinking water helps you lose weight for two reasons. It fills you up and it helps you avoid calories. Studies have shown that drinking water reduces your apetite, especially if you drink 8 to 16 ounces right before a meal. It makes sense that if there is something in your stomach that you will not be as hungry. The water will not help you burn fewer calories, if just allows you to feel full with fewer calories, so prepare smaller meals and drink water before you eat.Replacing other drinks with water is the easiest way to cut calories out of your diet. Instead of drinking soda, juice, milk or something else with your meal, drink water. You don't need those calories, and you will be better hydrated and feel better if you just drink water.
Don't just drink water right before and during meals, drink it all the time and your whole body will feel better. After a few weeks your body will start craving water all the time. I think this state of super hydration makes sticking to your diet easier. The only downside is frequent trips to the bathroom.
Sunday, April 29, 2012
Avoid Beginner Mistakes: Don't be "That Guy"
A few days ago I read a post about the annoying types of people people who do Brazilian jiu jitsu. I wanted to link to the article but I didn't save the link. I realized after reading it that I was similar to many of the "annoying guy" types when when I was a beginner.
When I first started I was super spazzy, I would use raw power at all times trying brute force moves and attempting to jump over guard. Looking back I feel like a total jerk because I put so many people at risk of injury because of my ego. As I gained skill and realized that injuries happen I have gotten my rolling under control and act much calmer and safer.
My first couple of weeks I would wear my gi like 3 times before washing it. I honestly don't think my gi ever smelled that bad cause I would air it out and sniff it but it is still not a good idea. It wasn't till after I got a staph infection that someone mentioned that not washing your gi is dangerous and can spread disease.
The one thing I still struggle with is trying too hard. I am naturally a really competitive person, and that is why I'm so interested in grappling tournaments. It is hard for me to just let go of my ego and take things easier. I am working on it but I still have room to improve in this department.
As a jiu jitsu beginner it is only natural to not realize you are being annoying and pissing people off. Unless someone complains or you read a list of do and don't for BJJ you aren't going to realize what you are doing wrong. If you are new to BJJ I highly recommend asking a higher belt you trust if you are making any new guy mistakes, preferably a purple belt or up so they have seen plenty of new guys that have ha d annoying habits.
My Beginner BJJ Mistakes
![]() |
| Don't spaz out and hurt people |
My first couple of weeks I would wear my gi like 3 times before washing it. I honestly don't think my gi ever smelled that bad cause I would air it out and sniff it but it is still not a good idea. It wasn't till after I got a staph infection that someone mentioned that not washing your gi is dangerous and can spread disease.
The one thing I still struggle with is trying too hard. I am naturally a really competitive person, and that is why I'm so interested in grappling tournaments. It is hard for me to just let go of my ego and take things easier. I am working on it but I still have room to improve in this department.
Advice for BJJ Beginners
As a jiu jitsu beginner it is only natural to not realize you are being annoying and pissing people off. Unless someone complains or you read a list of do and don't for BJJ you aren't going to realize what you are doing wrong. If you are new to BJJ I highly recommend asking a higher belt you trust if you are making any new guy mistakes, preferably a purple belt or up so they have seen plenty of new guys that have ha d annoying habits.
Thursday, April 26, 2012
Weight Loss: Paleo Diet Basics
The paleo diet is one of the greatest diets ever created. Pretty much any diet will allow you to lose weight if you increase your exercise and limit your calorie intake, but what sets the paleo diet apart is that it makes dieting easy. Other diets have I have done were painful and I was always hungry, but that wasn't the case once I adopted the paleo diet.
The problem with starting on the paleo diet is that it is so restrictive and hard to adjust to at first. The basic idea is to eat similar foods to what cave men would eat thousands of years ago during the paleolithic era.
You can eat pretty much any type of meat you want including beef, chicken, seafood, turkey and eggs. It is ok to eat some ham and bacon but it is best to limit your intake of pork products.
All fruits are ok to eat on the paleo diet but limit the quantity of fruit you eat. Although fruit does not have refined sugar, it does still have a lot of sugar in it. I eat a lot of apples, pears and grapes. I love pineapple but it is a pain to cut or expensive to buy pre-cut.
You can eat pretty much unlimited vegetables. Personally I eat a lot of broccoli, spinach, carrots and peppers, but most vegetables are ok. The only vegetables that are not ok are corn, peas and any beans.
All nuts except peanuts are ok. Cashews, almonds and walnuts are all good options for nuts you can eat. Be very careful with nuts because a small quantity can contain a lot of calories. I can eat a pound of salted cashews (about 1600 calories) in one sitting because they are so addictive.
Pretty much all you can drink is water. A limited quantity of natural no sugar added juice is ok but not necessary. When you switch to only water you will notice your grocery bill drop nicely.
Carbs are the devil, avoid them like the plague. You cannot eat bread, corn, potatoes, rice, pasta, tortillas or anything that has flower or wheat in it. It is hard to adjust to but it makes dieting easier in the long run.
You can't eat candy, sodas, chocolate, cookies, or anything else that has sugar added. No sugary juices, just natural juice like orange juice.
Don't eat cheese or ice cream and don't drink milk. The no cheese part can be hard to adjust to but it is good for two reasons. It helps with your diet and also most people are mildly lactose intolerant. If you tend to fart a lot, avoiding cheese helps reduce it. Avoiding dairy also seems to help people who have bad skin.
If it doesn't look like it was grown on a farm, don't eat it. If you go to the grocery store, all of the natural foods will be on the outside with the processed foods in the inside aisles. Don't even bother going down the aisles, there is no healthy food in there.
Legumes include foods like beans, peanuts and peas.
I dropped 28 pounds in 3 months following the paleo diet. It is by far the best and easiest diet I have ever followed. Everyone I have ever talked to that has tried it has had similar success. I will write a follow up in a few days with tips on adjusting to the paleo diet.
Link to site I got vegetables picture from. Link to site I got meats picture from.
What you can and can't eat on Paleo Diet
The problem with starting on the paleo diet is that it is so restrictive and hard to adjust to at first. The basic idea is to eat similar foods to what cave men would eat thousands of years ago during the paleolithic era.
You can eat Meat and Eggs
You can eat pretty much any type of meat you want including beef, chicken, seafood, turkey and eggs. It is ok to eat some ham and bacon but it is best to limit your intake of pork products.
You can eat Fruits
All fruits are ok to eat on the paleo diet but limit the quantity of fruit you eat. Although fruit does not have refined sugar, it does still have a lot of sugar in it. I eat a lot of apples, pears and grapes. I love pineapple but it is a pain to cut or expensive to buy pre-cut.
You can eat Vegetables
You can eat pretty much unlimited vegetables. Personally I eat a lot of broccoli, spinach, carrots and peppers, but most vegetables are ok. The only vegetables that are not ok are corn, peas and any beans.
You can eat Nuts
All nuts except peanuts are ok. Cashews, almonds and walnuts are all good options for nuts you can eat. Be very careful with nuts because a small quantity can contain a lot of calories. I can eat a pound of salted cashews (about 1600 calories) in one sitting because they are so addictive.
You can drink Water
Pretty much all you can drink is water. A limited quantity of natural no sugar added juice is ok but not necessary. When you switch to only water you will notice your grocery bill drop nicely.
You can't eat Carbs
Carbs are the devil, avoid them like the plague. You cannot eat bread, corn, potatoes, rice, pasta, tortillas or anything that has flower or wheat in it. It is hard to adjust to but it makes dieting easier in the long run.
You can't eat Refined Sugars
You can't eat candy, sodas, chocolate, cookies, or anything else that has sugar added. No sugary juices, just natural juice like orange juice.
You can't eat or drink Dairy
Don't eat cheese or ice cream and don't drink milk. The no cheese part can be hard to adjust to but it is good for two reasons. It helps with your diet and also most people are mildly lactose intolerant. If you tend to fart a lot, avoiding cheese helps reduce it. Avoiding dairy also seems to help people who have bad skin.
You can't eat Processed Food
If it doesn't look like it was grown on a farm, don't eat it. If you go to the grocery store, all of the natural foods will be on the outside with the processed foods in the inside aisles. Don't even bother going down the aisles, there is no healthy food in there.
You can't drink Alcohol
Alcohol is empty calories, avoid drinking all alcohols.
You can't eat Legumes
Legumes include foods like beans, peanuts and peas.
Why the Paleo Diet works
The paleo works because it prevents you from eating foods that raise your insulin. Insulin sends a message to your body telling it to get hungry and to store fat. Both of those are really bad when you are on a diet. When you start following the paleo diet your food cravings go down, this is why it is easy to follow. It is almost as if the weight just starts melting off.Paleo Diet success story
I dropped 28 pounds in 3 months following the paleo diet. It is by far the best and easiest diet I have ever followed. Everyone I have ever talked to that has tried it has had similar success. I will write a follow up in a few days with tips on adjusting to the paleo diet.
Link to site I got vegetables picture from. Link to site I got meats picture from.
Monday, April 23, 2012
Weight Cutting Strategies for Grappling Tournaments
Weight Loss vs Weight Cutting
Weight loss is when a person burns calories which leads to losing fat and body weight. Weight loss is important for people who are overweight or obese in order to improve their health. Weight loss takes a long time because a person can only burn half a pound of fat per day maximum. If you try to burn more than half a pound of fat per day, instead you will burn muscle. If you are competing in BJJ tournaments it can be helpful to lose weight in order to drop weight classes. This strategy take weeks or months to drop a weight class.
![]() |
| Man wearing a sauna suit. |
Weight cutting is a short term strategy that is done during the week before a tournament. I have cut up to 10 pounds of water weight before a weigh in. Keep in mind the more water weight you cut, the more unpleasant the experience will be and the more dangerous it is. The extreme dehydration can also hurt your performance in your competition if you do not have sufficient time to recover.
Weight Cutting Strategies
Water and Salt Intake
Drink a lot of water, around two gallons, and plenty of salt during the week before you weigh in. Starting 3 days before your weigh in cut back your water intake to only what is necessary, perhaps a few cups, and avoid all salt and sodium. On the day of your weigh in you should only take a few sips of water and still no salt.
Food Intake
During the week before your tournament you should not eat any carbs except in fruit and vegetables. Eliminate foods such as bread, rice, grain, potatoes, corn and any flour product. These foods will cause you to bloat up and retain weight. Starting around three days before your weigh in you should limit your calorie intake as much as possible. I generally eat around 1,000 to 1,200 calories per day right before weigh ins. Day of you should have as little food as possible.
Additional Weight Cutting Options
If you haven't quite made it to your goal weight, there are a few last minute water cutting options. Put on a sweat suit and use an exercise bike on low intensity. Be careful not to tire yourself out too much. You can also wear a sweat suit use a sauna to force you to sweat. Staying in a sauna too long can also tire you out and hurt performance. Another strategy is to chew gum and spit to drop water weight. Spitting has limited effectiveness. Another option is to take an epsom salt bath to draw the water out of you.
Recovering after Weigh In
After you weigh in you will need to recover from dehydration. You will need to replenish your liquids. It is important to do this slowly. Sip a recovery drink such as gatorade or pedialyte. Eat food slowly to replenish your energy, I recommend fruits and nuts. Don't eat too quickly or too much. Remember, the more weight you cut, the longer it will take you to recover. Think hard about how much weight you can cut based on how long before you compete you will be weighing in. Is it the night before, 3 hours before or 5 minutes before. The amount of time before the competition will affect how much water weigh you can drop.
Warning
Remember to be careful if you decide to employ any weight cutting. If done irresponsibly it can be dangerous and hurt your performance.
Saturday, April 21, 2012
Injured: No BJJ Training, No Grappling Tournaments
No BJJ Training for 6 Months
If you look at the archives you will notice that I stopped posting for around a month. Around a week before my grapplers quest tournament I found out that I had a herniated disc in my back and could not do any sports for 6 months or more. It took a while for me to figure out how I had hurt my back, and no it was not BJJ but running. A year ago when I was training for a triathlon I was doing some really hard high intensity interval training which ended up herniating my back. It wasn't until I started seeing a chiropractor 2 months ago that I finally started making progress with healing.
I was really upset at first so I abandoned blogging so I wouldn't have to think about it. Now I am starting to really miss it, thus here I am back again. One month down, 5 to go.
Friday, April 20, 2012
Lose weight today and you will feel better
A recent study by Gallup-Healthways Well-Being Index has shown that obesity leads to increase pain. Obese individuals suffer 68% to 254% more pain than normal sized people. These results are pretty surprising and should help motivate the overweight to start dieting.
If you are having trouble losing weight, consider training in martial arts, especially BJJ. Early data from my weight loss study suggests that people who train in martial arts have less difficulty losing weight and are more likely to keep it off.
If you are having trouble losing weight, consider training in martial arts, especially BJJ. Early data from my weight loss study suggests that people who train in martial arts have less difficulty losing weight and are more likely to keep it off.
Girls Fighting: Videos of Kickboxing and MMA Exhibition
Here are some videos of my girlfriend kickboxing at her first exhibition:
Round 1:
Round 2:
Round 3:
If you want to see more of her, check out this site for martial arts videos and girls fighting men.
Round 1:
Round 2:
Round 3:
If you want to see more of her, check out this site for martial arts videos and girls fighting men.
Thursday, April 19, 2012
Advice to BJJ Beginners: Don't attack from inside guard
Tonight I was watching a new guy at the gym roll with another white belt. The new guy was inside the the white belt's guard. The new guy inside guard kept on trying to either choke or Americana the white belt. I advised the new guy to try to escape guard several time instead of attacking and tried to walk him through a guard escape but he ignored me. Clearly this strategy did not work and ultimately ended with the new guy tapping to a triangle choke. Don't be THAT GUY.
Tonight wasn't even the first time I saw this. Last tournament I went to I watched a white belt with 9 months experience try to go for a choke from inside guard. She should have know better, and it cost her the match.
Wednesday, April 18, 2012
Does Martial Arts Help Weight Loss Survey
In my most popular article to date I discussed how training in martial arts and BJJ can help you lose weight. I would like to put my theory to the test and see if people who train martial arts are able to lose more weight faster and keep it off.
Please help out and take this very short survey: CLICK HERE FOR SURVEY
Thanks for the assistance. I will post the results when I have gotten enough responses.
Please help out and take this very short survey: CLICK HERE FOR SURVEY
Thanks for the assistance. I will post the results when I have gotten enough responses.
Tuesday, April 17, 2012
Celebrities doing BJJ
It is no secret that Brazilian Jiu Jitsu is becoming more popular than ever. More tournaments are being hosted each year and more people are competing in each tournament. Most of the popularity of BJJ is due to the rise of MMA and the UFC. As BJJ grows in popularity, the ranks of celebrities participating is also growing. Is it the popularity of jiu jitsu that is driving celebrities to train or is it the celebrities training in BJJ that is driving the popularity of the sport. I think this phenomenon is celebrities jumping on the bandwagon with the added benefit of further increasing the popularity of the sport.
Here is a list of celebrities that currently or have ever trained in brazilian jiu jitsu:
Chuck Norris has a black belt in BJJ from the Machado school (some sources say he only has a brown belt)
Nicolas Cage trains under Royce Gracie
Joe Rogan is a brown belt in Jiu Jitsu
Milla Jovovich
Jason Statham and Guy Ritchie train together
Jim Carrey
Mel Gibson
Mickey Rourke
Tommy Lee
Michael Clarke Duncan trains in Gracie Jiu Jitsu and has a purple belt
Joe Rogan has trained under Jean Jacques Machado as well as Eddie Bravo, he has a brown belt
Steve Irwin trained before he died
Nicolas Cage (Actor): Trains under Royce Gracie.
Rikki Rockett
Ben Granfelt
Zack Roth
Sean Patrick Flanery
Olivier Gruner
Kevin James
Ulises Bella
Harley Flanagan
Rakaa Iriscience
Tommy Lee
Herman Li
Ed O'Neill
Paul Walker
Mario Van Peebles
Maynard James Keenan
Alex Varkatzas
Bruce Williams
John Milius
David Mamet
Josh Waitzkin
David Callaham
Rakaa Iriscience
Richard Norton
Ulises Bella
Zack Roth
Chris Conrad
Steven Daniells-Silva
Michael Dudikoff
Brittney Skye
Dan Inosanto
Ray Mancini
David Jason Silve
Milena Roucka
Suga Pop
Phil Lipscomb
Do you know any other celebrities or famous people to add to the list?
Here is a list of celebrities that currently or have ever trained in brazilian jiu jitsu:
Chuck Norris has a black belt in BJJ from the Machado school (some sources say he only has a brown belt)
Nicolas Cage trains under Royce Gracie
Joe Rogan is a brown belt in Jiu Jitsu
Milla Jovovich
Jason Statham and Guy Ritchie train together
Jim Carrey
Mel Gibson
Mickey Rourke
Tommy Lee
Michael Clarke Duncan trains in Gracie Jiu Jitsu and has a purple belt
Joe Rogan has trained under Jean Jacques Machado as well as Eddie Bravo, he has a brown belt
Steve Irwin trained before he died
Nicolas Cage (Actor): Trains under Royce Gracie.
Rikki Rockett
Ben Granfelt
Zack Roth
Sean Patrick Flanery
Olivier Gruner
Kevin James
Ulises Bella
Harley Flanagan
Rakaa Iriscience
Tommy Lee
Herman Li
Ed O'Neill
Paul Walker
Mario Van Peebles
Maynard James Keenan
Alex Varkatzas
Bruce Williams
John Milius
David Mamet
Josh Waitzkin
David Callaham
Rakaa Iriscience
Richard Norton
Ulises Bella
Zack Roth
Chris Conrad
Steven Daniells-Silva
Michael Dudikoff
Brittney Skye
Dan Inosanto
Ray Mancini
David Jason Silve
Milena Roucka
Suga Pop
Phil Lipscomb
Do you know any other celebrities or famous people to add to the list?
Thursday, April 5, 2012
New BJJ Book

My instructor, Ken Primola, just release his new BJJ ebook on sweeps. You can find it here. If he is half as good a writer as he is instructor it will be well worth the money.
Wednesday, March 14, 2012
Advice for your first grappling tournament

If you have never been to a grappling tournament, your first one will make you pretty nervous. Here is some advice that will help you perform better during you first tournament.
1) Practice take downs as much as possible. Most BJJ classes don't work much on takedowns because they often lead to injuries and it takes a lot of space. In tournaments they are key for success.
2) Learn and practice guard escapes and guard passes and drill them. One of the most common moves by white belts in tournament is jumping guard. Be ready for it. If you stager your legs when they go for it then they won't be able to get their legs around you and will fall on their butt. While they are in shock, step past their guard and take side mount or mount.
3) Only use simple, basic moves. The complex fancy moves you were taught last week is probably not your strongest move, only use move you know well and have practiced often.
4) You don't get any bonus for submitting your opponent. Try to get a few points from positional advantage and stall. Once you have gotten mount, it doesn't take much energy to hold a person down for the rest of the match. It is much less risky to hold your opponent in mount than it is to go for a submission. Failed submissions often lead to opponents escaping, even scoring points by mounting you or passing your guard. The one advantage of submitting a person early is that you don't tire yourself out. If you are able to get a low risk submission (like a collar choke), go for it but only if it is low risk.
5) Develop good endurance. Tournaments are unbelievably tiring, especially no-gi. Practice rolling hard so simulate what it will be like. Often you will have 4 or more matches in a tournament.
6) Try to be the heaviest person in your weight category. If you are in the middle of a weight category you should either put on weight (muscle preferably) so you are at the high end of your weight bracket or lose or cut weight so you in the next lower weight bracket.
Monday, March 12, 2012
What to look for in a Brazilian Jiu Jitsu school?
One of the most important decisions you can make when training in Brazilian Jiu Jitsu is what school to train at. I will discuss some of the most important factors to look at when picking which school you will learn at. I highly recommend attending a few classes at a school before you sign up, especially if there is a length contract.1) What are the students like at the school?
If almost everyone is a white belt, this is a red flag. Why aren’t there any higher belts? Does everyone leave before they get promoted because the instructor isn’t very good? A lack of higher belts can really hurt you because there will be fewer people that can help teach you techniques and you won’t have more skilled students to roll with. I find that I learn the most when rolling with blue and purple belts.
What are the other students like physically? Are most of the other students much smaller or much larger than you? Are most of the students older or younger than you? You will probably want to train at a school that has several people of similar size to you with people both smaller and larger. It is good to roll with a diverse set of students to allow you to develop a well-rounded game. If you are always rolling with people who are much larger than you it will be difficult to learn how to do submissions. If you are always rolling with people who are much smaller than you then you won’t get as much experience on the bottom.
2) How does the instructor teach?
It is important to make sure that you are able to learn from the instructor, does the instructor’s teaching style work for you?
3) What are the goals of the gym?
You will want to make sure the goals of the gym and your goals align. If everyone else is competing in tournaments and you are doing BJJ for recreational enjoyment then rolling with the other student might be too intense. On the flip side, if you want to compete and no one else in you gym does, it will be tough for you to get the high intensity rolling sessions you need to prepare for tournaments.
4) How often does the gym have classes?
I have seen a wide range in the frequency of classes at gyms. Some schools only train twice a week while others have 10 or more classes a week. Make sure that you feel that your school has enough classes to meet your training goals. Keep in mind that after you start training you will probably want to train more than you initially think you want to train. BJJ is addictive like that.
5) Does the gym train in Gi, No-Gi or both?
I recommend finding a gym that trains in both Gi and No-Gi. Check out my entry about Gi vs No-Gi BJJ.
6) How large is the gym? How many students show up per class?
Make sure that there are enough students showing up so that you will have plenty of student to roll with. You will also want to make sure classes are not too crowded either. If there is not enough matt space for everyone to roll at the same time, you will lose precious training time.
7) Is the gym a 10th Planet BJJ school?
Many people do not like the style of 10th planet. These schools typically teach a limited subset of BJJ. Carefully research 10th planet and their style of BJJ before you sign up to train at one of their gyms. I will leave it up to you to decide if their system is right for you.
My ideal school has at least 50% higher belt, and a diverse set of students, most of which weigh more than 160 pounds. It should offer classes every day and should have several students interested in competing. The school should offer training in both Gi and No-Gi.
Saturday, March 10, 2012
Training: Gi vs No-Gi
Whether to training Gi or No-Gi is an age old debate, both having advantages and disadvantages.Training in a gi is the traditional way of training in Brazilian Jiu Jitsu. It is a significantly more technical way of training because it is slower and has a much larger number of moves that are available. It is often recommended that newer students train gi first so they can focus on technique first. Grappling in a gi is also safer because it covers your entire body which helps to prevent spreading infections.The arguments for no-gi is that you don't rely on gi grips. Since it is harder to hold onto an opponent it is much faster pace and forces students to develop quick reflexes. Many people also choose to study no-gi submission grappling because they are interested in MMA and fighters do not wear gis. No-gi proponent make the argument that no-gi is more realistic for self defense because people do not wear a gi on the street. Gi proponents make the argument that everyone wears clothing which can be used similarly to a gi.
I think it is important to spend time training in both a gi and no-gi, but personally I find rolling in a gi more enjoyable. I like having more options and I think the gi techniques are more interesting than no-gi. In the end, you should train the way you enjoy and for me that means spending most of my time training in a gi.
Friday, March 9, 2012
No Excuses
I came across this video of a one armed MMA fighter the other day. If he can compete and succeed with such a huge disadvantage, what excuse do you have?
If this video doesn't motivate you to try harder then I don't know what will. This man has used his potential to the max, it really makes me think of what I am capable.
If this video doesn't motivate you to try harder then I don't know what will. This man has used his potential to the max, it really makes me think of what I am capable.
Thursday, March 8, 2012
Martial Arts can help you lose weight

Today I am going to talk about weight loss, after all it made it on my list of top 10 reasons to do jiu jitsu. I have heard about story after story after story about people who have lost a lot of weight doing martial arts. I think there are 3 main reasons it helps you to lose weight an keep it off:
1) Martial Arts is exercise which helps you burn calories.
2) Martial Arts are fun which often means you will continue to be active even after you reach your goal.
3) Martial Arts teaches people discipline which helps them stick to the diet they are following and keep eating healthy even after they reach their goal.
I have been doing BJJ for 3 months now and following the paleo diet. So far I have lost 27 pounds, making this the most successful diet I have ever had. I plan to lose another 5 pounds before I hit the body fat percentage I want (roughly 7%). I look so much better than when I started, I have abs showing and everything. Once I reach my goal I will post before and after photos. When I have more time I will do a detailed (probably several part series) entry about paleo diet and losing weight.
Subscribe to:
Posts (Atom)







.jpeg)

